はじめての矯正治療Q&A!矯正って痛い?費用は?よくある質問10個まとめ📝
Q1.どれくらい期間がかかりますか?
ワイヤー矯正の場合(マルチブラケット矯正)
全体矯正で平均1〜3年、部分矯正の場合は3ヶ月〜1年半程度が平均的な治療期間です。通常、1ヶ月に1回程度の頻度で調整のために通院するため、通院回数は全体矯正で合計12〜36回程度、部分矯正で合計3〜18回程度となります。
マウスピース矯正の場合
マウスピース型矯正治療の場合は、全体矯正で平均2〜3年、軽度であれば半年〜1年半程度が治療期間となっています。マウスピースの管理状況にもよりますが、1〜3ヶ月に1回程度のペースで経過観察を行うのが一般的で、通院回数は全体矯正で合計10〜20回程度、軽度の場合で合計3〜10回程度が目安です。
これらの期間に加えて、矯正治療では治療後の後戻りを防止する保定期間が必要です。一般的に治療期間と同程度の保定期間が必要と考えられており、3ヶ月〜半年に1回程度の頻度で合計5〜10回ほどの通院が必要になります。保定期間を含めると、治療全体にかかる期間は2〜5年、トータルの通院回数は全体矯正で20〜40回前後になることもあります。
Q2.痛みはありますか?
👉A.はい、矯正治療では痛みが出ることはあります。ただし、多くの場合は「ずっと強く痛い」というものではなく、一時的でコントロールできる程度です。
■ 痛みが出るタイミング
主にこの3つです:
① 装置をつけた直後・調整後
• もっとも痛みを感じやすいタイミング(「歯が押される感じ」「噛むと痛い」といった感覚が多いです)
• 1〜3日がピークで、その後徐々に痛みは治ります
② 歯が動いているとき
• 歯に力がかかり、周囲の組織が反応して起こる痛み
• 「鈍い痛み」「浮いた感じ」になることが多い⇨これは歯がちゃんと動いているサインでもあります
③ 装置が口の中に当たるとき
• ワイヤーや装置が頬・唇・舌に当たる
• 口内炎やこすれによる痛みが出ることも
このような痛みを感じる場合は装置の調整が必要になる場合があります
■ 痛みの強さはどれくらい?
• 個人差がかなり大きいです
• 「思ったより平気」という人も多い
• 強い痛みというより、「違和感」「締め付け感」と表現されることも多い
■ どのくらい続く?
基本は数日〜1週間程度で落ち着くことがほとんどです。治療が進むにつれて痛みはだんだん弱くなり後半はほとんど気にならない人もいます。
Q3.費用はどのくらいかかりますか?
成人矯正
マルチブラケット矯正(ワイヤー矯正)80〜100万円(保定装置代も含む)
マウスピース矯正 85〜120万円(保定装置代も含む)
部分矯正 15万円〜
⚠️上記費用に別途検査料、診断料、管理料を頂戴しております
小児矯正
第一期治療 40〜60万円(保定装置代も含む)
第二期治療 40〜60万円(保定装置代も含む)
⚠️上記費用に別途検査料、診断料、管理料を頂戴しております
Q4.目立たない矯正はありますか?
👉A.あります!マウスピース矯正や審美ブラケットがあります
①マウスピース矯正
マウスピース型矯正治療とは、マウスピース型の矯正装置(アライナー)によって、歯を正しい位置へ緩やかに動かしていく治療法です。 一人ひとりに合わせて精密にカスタムメイドされたアライナーを交換していくことにより、徐々に歯を移動させます。 マウスピースは透明のもので目立たないため見た目が気になる方でもストレスなく治療を受けていただく事ができます。当院にはインビザライン認定ドクターが在籍しております。マウスピース矯正が気になる方はぜひご相談ください!

②審美ブラケット
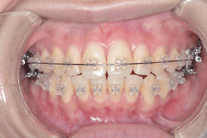
審美ブラケットとは、歯列矯正で使う「ブラケット(歯の表面に付けるポッチの様な装置)」の中でも、見た目が目立ちにくいタイプのものです。(下の左側の写真)
通常の矯正は金属(銀色)ですが、審美ブラケットは歯の色に近い素材で作られているため、装着しても目立ちにくいのが特徴です。
■ 主な特徴
• 白・透明で目立ちにくい
• セラミックやプラスチック素材
• 金属アレルギーの心配が少ない
• 矯正の効果は通常の装置とほぼ同じ
審美ブラケット 通常のメタルブラケット


Q5.抜歯は必要ですか?
👉 矯正治療で抜歯が「必ず必要」というわけではありません。
ただし、歯並びや口元の状態によっては抜歯が必要になるケースがあります。
🦷 抜歯が必要になる主なケース
① 歯が並ぶスペースが足りない(叢生)
• 歯が大きい/顎が小さい
👉 並べるスペースがないため抜歯でスペース確保
② 口元の突出(いわゆる出っ歯・口ゴボ)
• 前歯を後ろに下げたい場合
👉 抜歯しないと十分に引っ込められない
③ 噛み合わせのバランス調整が必要
• 上下の歯の位置関係がズレている
👉 抜歯で左右・上下のバランスを整える
🦷 抜歯しない治療(非抜歯)になるケース
• 軽度のガタつき
• 顎にスペースがある
• 奥歯を後ろに動かせる場合
• 歯を少し削る(IPR)で対応できる場合
👉 最近は技術の進歩で
できるだけ抜かない方針(非抜歯)も増えています。
⚠️ 無理に非抜歯にするとどうなる?
ここは重要です👇
• 歯が外側に広がる(出っ歯になる)
• 口元が前に出る
• 後戻りしやすくなる
👉 「抜かない=良い」ではなく
仕上がりとのバランスが大切です。
回答ポイント
• スペース不足・口元の突出で判断
• 必ずしも全員必要ではない
Q6.何歳から矯正治療はできますか?何歳までできる?
🦷 何歳から矯正治療は可能?
👉A.早ければ「5~6歳頃」から可能
子どもの矯正は”顎の成長を利用できる””骨格から改善できる”など様々な利点があります。
一般的には7~8歳で開始することが多いですが口腔内の状態によっては早期に開始します。
🦷 何歳まで矯正治療はできる?
👉A.結論:年齢の上限はなく何歳からでも矯正治療は可能です。当院でも実際に60代の方で治療に通ってくださっている方もいます。
⚠️ 年齢より重要なポイント
矯正できるかどうかは「年齢」よりも以下が重要です:
• 歯周病の有無
• 歯を支える骨(歯槽骨)の状態
• 残っている歯の本数
👉 つまり、70歳でもOKな人もいれば、若くても難しい人もいるということです。
Q7.食事制限はありますか?
ワイヤー矯正の場合
👉基本的に完全禁止な食べ物はないです
ただし下記の理由で「避けたほうがいい食べ物」はあります。
• 装置の破損防止
• 食べ物の詰まり防止
• 痛み・不快感の軽減
⚠️ 注意が必要な食べ物
① 硬いもの(装置が壊れる)
せんべい、ナッツ、フランスパン、氷 などはブラケットやワイヤーが外れるリスクを高めます。
② ひっつきやすいものもの
ガム、キャラメル、餅 などは装置にひっついて外れにくいため汚れを取る際に装置の脱離の原因となります。また粘着質のものが装置に付着したまま過ごすと装置の周りが虫歯になってしまいます。
③ 繊維質・絡まりやすいもの
ほうれん草、ごぼう、ねぎ などはワイヤーに絡まりやすいです。しっかりと清掃することが大切になってきます。
④ 細かい・詰まりやすいもの
ごま、ポップコーン、ひき肉料理などは清掃が難しいためしっかりとケアすることが大切になってきます。
💡食べ方の工夫が大事
完全に食事を制限してしまうとストレスになってしまい治療を挫折する原因になります。
完全に制限せずに「食べ方」を工夫するのがポイントです。
• 小さく切る
• ゆっくり噛む
• 食後はしっかり歯磨き
• 調整後2〜3日は柔らかい食事にする
など様々な工夫をする事が治療をストレスなく続ける鍵となるのです。
マウスピース矯正の場合
マウスピース矯正の場合、装置を外して食事が可能なので基本的に食事制限はないです。しかし、マウスピースをつけたまま食事をしたり糖分の入った飲み物を飲んでしまうと虫歯になるリスクが高くなります。
Q8.通院頻度は?
ワイヤー矯正、マウスピース矯正に関わらず月1〜2回の通院が必要になることが多いです。
口腔内の状態によってはもう少し期間を空ける場合があります。
Q9.後戻りはしますか?
👉A. 保定装置(リテーナー)を使用しないと後戻りします
矯正で歯を動かした直後は、歯槽骨(歯を支える骨)や歯ぐきが不安定な状態です。そのため、何もしないと元の位置に戻ろうとする力が働きます。
後戻りを防ぐためには
リテーナー(保定装置)の使用と習慣の見直し
が鍵になります🔑
【後戻りしないためのポイント】
① リテーナー(保定装置)をしっかり使う
後戻りを防ぐためにはこれが最も重要です。
• 矯正直後はほぼ1日中装着
• 徐々に夜のみ装着へ移行
• 目安:最低1〜2年、理想は長期(就寝時)継続
👉 リテーナーの装着をサボると数日〜数週間で歯が動くこともあります
② 定期的なチェックを受ける
歯は少しずつ変化するため、数ヶ月〜半年ごとに通院し(通院頻度は個人差あり)リテーナーの調整をしっかり行うことが重要です。
👉定期的なチェックを受けることで 小さなズレのうちに対処できます
③ 舌や口のクセを改善する
実はかなり重要です!歯並びが悪くなる原因として舌癖や口呼吸、日常生活の癖(頬杖やうつ伏せ)が関係してくる事があります。
必要に応じてMFT(口腔筋機能療法)を行うこともあります。
④ 噛み合わせを安定させる
噛み合わせが不安定だと、一部の歯に負担がかかってしまいます。
👉 矯正後の微調整や咬合チェックが大切
⑤ 親知らずの影響をチェック
親知らずが押して歯並びが変わることもあるので必要なら抜歯を検討することもあります。
⸻
Q10.治療中は虫歯になりますか?
ワイヤー矯正の場合
👉A. ワイヤー矯正中は通常より虫歯のリスクが高くなる傾向にあります
🦷ワイヤー矯正で虫歯のリスクが高くなる理由
① ブラケット周囲に汚れがたまりやすい
ワイヤー矯正では歯に「ブラケット」という装置を固定するため、
その周囲に食べかすやプラーク(歯垢)が溜まりやすくなります。
特に”歯と装置の境目”や”ワイヤーの下”は磨き残しが起こりやすいポイントです。
② 歯磨きが難しくなる
装置があることで歯ブラシが届きにくくなり、
通常の歯磨きだけでは汚れを落としきれないことがあります。
その結果、プラーク(歯垢)が残りやすくなり、虫歯の原因になります。
③ 初期虫歯(脱灰)が起こりやすい
磨き残しが続くと、歯の表面が白く濁る「脱灰」が起こります。
初期虫歯が進行してしまうと歯に穴が空いてしまい治療が必要になります。
⚠️ 特に虫歯になりやすい人の特徴
• 歯磨きが苦手・時間が短い
• 甘い飲み物や間食が多い
• フロス・歯間ブラシを使っていない
• 定期的なクリーニングを受けていない
マウスピース矯正の場合
👉A. マウスピース矯正は取り外しが可能な装置をつけるためワイヤー矯正より手入れがしやすく虫歯のリスクは減ります。しかし、条件によっては虫歯になることもあるので注意!
🦷マウスピース矯正における虫歯のリスク
① マウスピースをつけたまま飲食すると虫歯リスクが上がる
マウスピースを装着したまま飲食をすると、糖分や食べかすが歯と装置の間に閉じ込められるため虫歯ができやすい環境になります。
②唾液の自浄作用が弱まる
📝唾液の自浄作用とは?
唾液が口腔内をきれいに保つ働きのことです。食事をすると口腔内には食べかすや細菌(虫歯菌)などが残ります。そこで唾液が食べかすを洗い流したり細菌の増殖を抑えるのです。唾液が減ってしまうと虫歯になりやすかったり口臭の原因にもなってしまいます。マウスピースで歯が覆われることで、唾液による洗浄・再石灰化作用が低下し、虫歯リスクが高まる場合があります。
③ マウスピース自体が不衛生になると虫歯リスク増加
マウスピースの手入れがが不十分だと、 細菌が繁殖した状態で長時間装着することになり、虫歯や口臭の原因になります。
当院では矯正治療中の装置のチェックに加えて衛生士によるクリーニング(歯のお掃除)や虫歯チェックも行っています。 虫歯があった場合も、当院ですぐに治療を受けれる体制を整えておりますので安心して通院していただけます。

